
우리 부부는 그동안 아기를 갖으려고 이런저런 노력을 많이 했었는데 생각과 다르게 아기가 잘 생기지 않았다.
신혼 때는 아직 아기를 키울 상황이 아니라 생각되어 피임도 하면서 일부러 아기가 생기지 않게 조심했었는데...
이게 뭐지? 피임을 하지 않으면 아기가 쉽게 바로 생기는거 아니었나?
갖고 싶다고 쉽게 갖을 수 있는게 아니었다.
사회적으로 미혼모도 많고 결혼 전에 아기부터 덜컥 생기고 그런 일이 많았기에 쉬운거라 생각했었는데 아주 큰 착각이었다.
회사에서 이런 고민을 직장동료분께 얘기하니 난임병원 가는걸 추천해주셨다.
본인도 난임병원 가서 아기를 가졌고 주변에도 아기가 잘 생기지 않아서 고민 많은 사람들이 있었는데 다들 난임병원 가서 아기 다 생겼다고 얘기해주시는거 아닌가?
그러면서 진작 난임병원 갈껄 왜 그동안 계속 긴 시간 허비했는지 모르겠다라는 그분들의 아쉬움이 섞인 후기들도 전해주셨다.
생각해보니 일리있는 얘기였다.
게다가 상태 좋은 난자와 정자를 선별해 수정을 시키는 것이기 때문에 자연임신보다 어쩌면 더 괜찮은거 아닌가 하는 생각도 들었다.
평소 아내도 난임병원 가보자는 의견이 있었기에 그렇게 결국 우리는 난임병원을 가게 되었다.
처음엔 인공수정으로 시도를 했었는데 세 차례 다 실패로 끝나서 최종적으로 시험관 시술을 받게 되었는데 첫번째 시험관 시술만에 바로 성공하여 드디어 기다려왔던 임신을 하게 되었다.
난임병원에서 인공수정이나 시험관 시술을 받으면 쌍둥이가 생길 확률이 높다는 말을 예전부터 들어왔었는데 아니나 다를까?
우리에게도 드디어 아기가 찾아왔다!
그것도 둘 씩이나! 쌍둥이로!
시험관 시술 때 35세 이하는 수정된 난자를 2개 넣고 35세 이상은 3개를 넣는다고 한다.
그래서 우리는 35세 이하라 2개를 넣었는데 2개가 다 착상에 성공한 것 같다.

임신 초기에는 이런저런 변수들이 많다고 하여 안정기라는 12주에 접어들 때까지 최대한 조심하며 지내고 있는중인데 어느덧 7주가 되었다.
처음에는 이게 진짜인가? 현실 맞나? 진짜 아기가 생긴거 맞나? 하면서 어리둥절한 기분이 컸다.
아무래도 어렵게 갖은 아기를 끝까지 잘 지키고 보살펴야 한다는 생각이 더 강해서 그 부분에만 계속 초점이 맞춰져 있다 보니 걱정이 더 앞섰던 것 같다.
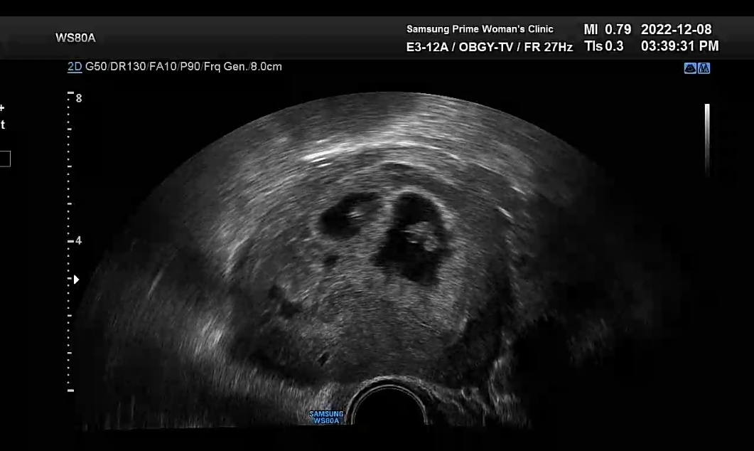
그러다 임신 7주차에 아기 심장소리를 병원에서 듣고 오니 이제서야 드디어 실감이 나기 시작했다.
우리에게도 드디어! 예쁜 아기가 찾아왔구나. 그것도 둘이나!
초음파 보니 아직은 아주 작은 우리 아가들의 심장이 콩닥콩닥 열심히 뛰는 모습이 보였다.
작은 우리 아가들 열심히 잘 자라주고 있구나 하는 생각에 우리 아가들이 기특하기까지 했다.
임산부들이 자주 사용하는 어플인 베이비빌리라는 어플도 설치했다.
인스타그램 등 SNS에서 임산부들이 올리는 사진들 중에 종종 위와 같은 사진을 보곤 했는데 그게 이 어플이었구나.
설치하고 보니 유용한 정보도 많고 주차별 진행이 어떻게 될껀지 어떤 것들을 유의하고 또 준비해야 하는지와 같은 출산 예정일을 앞둔 엄마, 아빠들을 위한 커뮤니티 게시판도 있고 아주 잘 만들어진 어플이라는 생각이 들었다.

태명은 행복이, 기쁨이라고 지었다.
우리에게 기쁨과 행복을 주었고 우리 아가들 앞으로 살면서 항상 행복하고 기쁜 일들만 가득하라는 뜻에서 이렇게 지었다.
행복하면 기쁘고 또 기쁘면 행복하고 하니까 서로 잘 어울리는 단어 같기도 하다.
아기가 생겼으니 보건소 등 임산부 복지혜택도 알아보고 태아보험도 알아보고 출산을 위한 병원도 알아보고 출산 후에 갈 산후조리원도 알아보고 이것저것 알아봐야 할 것들이 많았다.
우리 아가들은 다태아 쌍둥이다 보니 일반 동네 산부인과에서는 분만을 하기 어려운 것 같았다.
고위험산모에 포함돼서 출산중에 있을 위험에 대비해 난임병원에서도 대학병원 가서 분만하는 것을 추천해주셨다.
알아보니 다태아 전문 의사분들이 있는 것 같다.
최근에 TV에 나온 유명하신 의사선생님도 있고 그 의사선생님 처럼 유명하게 알려지진 않았지만 이 분야에서 전문적인 의사분들도 있었다.
지금은 일단 서울대학교병원으로 예약을 해두었는데 서울아산병원, 삼성서울병원 한 두곳 더 알아봐야 할 것 같다.
태아보험도 가입해야 하는데 다태아다 보니 보험 가입도 단태아 보다 번거롭고 까다로운 것 같았다.
게다가 태아보험이 원래 어린이보험인데 보장항목이 200개가 넘는다는 것 같다.
보통 내가 직접 알아보고 직접 설계해서 가입하곤 하는데 이건 도저히 나 혼자 할 엄두가 나지 않아서 보험설계사분을 통해서 가입하기로 했다.
현재 설계서 몇 개 받아본 것 중에 마음에 들게 설계해주신 분이 있어서 그분께 가입하려고 준비중이다.
16주부터 가입이 가능한 것 같은데 다른 하나는 그 전에도 가입이 가능하다고 하니 그것부터 가입해야겠다.

기특한 우리 아가들, 행복아 기쁨아!
엄마, 아빠가 우리 아가들 건강하게 잘 키우고 세상에서 가장 행복하게 해줄께!
그때까지 조금만 더 힘내고 우리 꼭 건강한 모습으로 만나자!
엄마, 아빠가 많이 사랑해! 🥰💕
'일상' 카테고리의 다른 글
| 타우너스 - 너무 예쁜 을지로 아포카토 에스프레소 카페 추천 (0) | 2023.03.07 |
|---|---|
| 돈까스클럽 남양주점 - 창밖으로 한강이 보이는 한강뷰 맛집 (0) | 2022.12.09 |
| 레몬그라스 타이 - 다산신도시 똠얌쌀국수, 태국음식 맛집 (0) | 2022.08.30 |
| 곰터먹촌, 함병현 김치말이국수 - 포천 김치말이국수 맛집 (0) | 2022.08.29 |
| 김불시대 - 용산역 불고기 맛집(김치 불고기 시대) (0) | 2022.08.29 |